Banco de dados dos EUA revela os objetos mais inseridos nos órgãos sexuais masculino e feminino

Levantamento é da Comissão de Segurança de Produtos de Consumo dos EUA que mantém uma lista de visitas ao pronto-socorro e dos motivos que levam as pessoas até lá
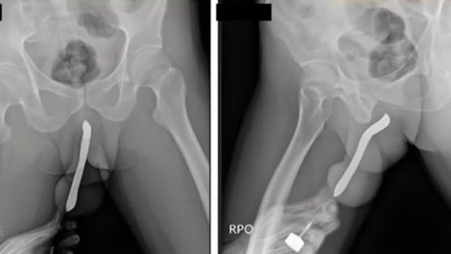
Um número alarmante de pessoas acaba no pronto-socorro todos os anos após inserir objetos nos órgãos sexuais. Seja por curiosidade ou até por fetiches sexuais. O hábito pode ser perigoso e afetar seriamente a saúde.
O site americano Defector analisou os dados mais recentes, referentes a 2024, do banco de dados da Comissão de Segurança de Produtos de Consumo dos EUA que mantém uma lista de visitas ao pronto-socorro e dos motivos que levam as pessoas até lá. Entre eles: os objetos mais frequentes que aparecem presos no ânus das pessoas.
Veja também

Influenciadora gera repercussão ao vender suor pós-treino para nadar com tubarões
Moda do adesivo de umbigo falso chega ao Brasil e divide opiniões na internet
Pênis
Bateria
Cera de vela
Peça de xadrez
Vidro
Caneta
Lápis
Pente
Caules de maçã
Núcleo de maçã
Grampo de cabelo
Clipe de papel
Ímãs
Parafusos
Grampos
Termômetros
Fones de ouvido
Corda de guitarra
Chave Allen
Vagina
Sinos de Natal
Isqueiros
Folhas de alumínio
Bolas de algodão
Palito de picolé
Baleias de brinquedo (plástico)
Pedras preciosas (como diamantes)
Luva de látex
Bomba de banho (chuveirinho)
Pequena sereia de plástico
Sacos de maconha
Pingentes para pulseira
Vibradores
Anel peniano
Colheres
Escova de cabelo
Detergente
Tampa do êmbolo
Garrafa de cerveja
Fonte: O Globo




